writetomechaitali@gmail.com 033-24165582, 9830168171,9434730489


COSMETIC DENTISTRY




1. SMILE DESIGNING :

Our focus is your smile. Your smile is most distinctive feature for you .We keep it looking best.With cosmetic dentistry, you can improve your smile using the modern restorative methods and tools.



Evaluating your smile:


What do you like to change about your smile?

Do you have uneven or discoloured teeth?

Do you have old dental work that needs repair? Do you experience any of the following issues ?



If any of the following issues listed are causing you pain /discomfort, our team at Teethwel is here to help you. Tell us more about the smile you want to achieve .We’ll do our best to do this.


10 step process to cosmetic dentistry


  1. At your consultation, tell us what woild you like to change in your smile . We than determine the current condition of your teeth and tell you possibility for us to do.
  2. A photograph of your existing smile is taken and sent to our lab to do a digital simulation of what the finished result will look like with a Digital Smile Makeover. We take photos of your teeth and collect your recent photos .We than compare them to an ideal smile and from there see the difference. We than digitally recreate your smile and send the changes back to you.You can see how your smile looks before and after getting dental work.
  3. If you are happy with the digital results ,we then take impressions .We make an exact duplicate of your teeth and make the changes we would make to your real teeth in wax.
  4. We choose a color together.
  5. If you still unsure about the look of new teeth ,we can make a plastic stent that goes on top of your existing teeth that is an exact duplicate of the wax- up .Now you can see the look.
  6. You can wear stent few days to ensure completely satisfied with this look
  7. Then we prepare your teeth and take impressions.
  8. Tooth preparation is required.
    1. We make temporaries based on the corrected tooth alignment and position
    2. Few days wearing and if required changes are made in temporaries.
    3. The final result is a duplicate of the temporaries.
  9. Veneers or crowns are made and tried in.
  10. Then are cemented on and you go home with your new smile.

2. LAMINATES AND VENEERS :


Dental Veneers also known as Laminates……enhance cosmetic value of teeth.

Veneers are very thin, porcelain or resin shells that are customized for a desirable color and shape. They are bonded to the surface of the teeth to reshape broken, misshapen or irregular teeth, as well as provide a solution for discolored teeth that do not respond to traditional whitening treatments.

Patients with veneers typically achieve a natural tooth appearance that is well tolerated by the gums and also resistant to future stains.



FREQUENTLY ASKED QUESTION :


Q) Am I a candidate for dental veneers or laminates?

Dental Veneers may be right for you if you are looking for an alternative to crowns and caps.
Veneers can help you if you have gaps between your teeth or teeth that are broken, chipped , irregularly shaped or misaligned. Contact us to schedule a consultation.


Q) How and when I get my dental Veneers ?

Before dental veneers can be placed on the teeth, the surface of the teeth must be prepared for bonding.
After administering a local anesthetic, your dentist will reduce approximately half a millimeter from the surface of the teeth.
You’ll then bite into a mold that will be used to form your Veneers in a dental lab. Ready Veneer is fitted on tooth by bonding and adjusting for shape and color.


Q) What’s are post-treatment care instruction?

Normal Brushing and Flossing and routine dental care you will take immediately. Veneers are placed over the course of two appointments .So some sensitivity will experience between first and second visit when the teeth have been reduced in preparation for bonding.

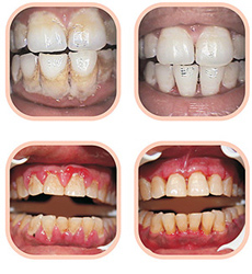
TEETH WHITENING:

Teeth whitening procedures are used to brighten the appearance of a patient’s smile.
Sometimes by as many as 5 to 10 shades in a single session . Teeth whitening is most popular esthetic dental treatments among patients throughout the country. Professional teeth whitening services can be performed in an office setting or prescribed for take–home use by a patient.





Certain foods , beverages, medications and habits can contribute to a darker , yellowed, stained smile.
According to Cosmetic Dentistry Department, professional whitening is best maintained by a combination of good oral care and take–home whitening treatments as recommended by your dentist.



FREQUENTLY ASKED QUESTION :

Q) Am I a candidate for teeth whitening ?

You may be a candidate for professional teeth whitening if you are experiencing discoloration, but otherwise have healthy teeth and healthy gums. Schedule a consultation with our “TEETHWEL” to find out if tooth whitening could be right for you.

Q) What type of post-treatment care is required after having my teeth whitened ?

It is normal to experience some tooth sensitivity following a professional whitening agent. Instruction to you for avoiding highly pigmented beverages for atleast 24 hours to prevent the teeth from staining again. Examples include tea, coffee and wine.

DENTAL JEWELLERY :

One of the major aspects in dentistry is Aesthetics. Patients are very sensitive about their smiles and many times visit dentists to make it better. Youngsters and many elders are also getting into the world of Dental Fashion. At that situation dental jewellery is emerging big time.

Why dental jewellery is so popular?

  1. Its affordable.
    Unless you want to put real gold on your tooth, dental jewellery is very affordable.
  2. They are very easy to use and there are no chance of feeling pain.
  3. They are not permanent in nature. Patients can easily replace it with a new one.

Tooth jewellery is much in demand these days in cosmetic dentistry. Sparkling crystal glass design, or something in gold with a twinkle of ruby or diamond add zing in life .These tiny little designs are great fun and because there is no drilling involved , they won’t harm your teeth.


Dental Jewellery are bonded to teeth as orthodontic brackets. The procedure is very simple (10 -15) minutes. They are removable, not damage the tooth or can be left in place for years ,if desired.
Main Features :

  1. No drilling.
  2. No holes.
  3. No teeth preparations.
  4. No loss of tooth structures.
  5. Temporary, can be removed anytime one desires.
Steps in applying a tooth jewellery :

  1. Applying rubberdam for isolation and to prevent the accidental aspiration of the dental jewellery.
  2. The contact surface of the tooth must be professionally cleaned with brushes or cups and polishing paste. eg.Proxyt.
  3. A 37 % phosphoric acid gel (eg. Total Etch) is applied to the contact surface. The diameter of the etched surface must be slightly larger than that of the stone.
  4. Tooth etched 60 S to 1 min.
  5. After 60 secs of etching,thoroughly rinse off the phosphoric acid with water. White frosted appearance come on tooth surface.
  6. Apply thin coat of bond on etched region.( Ex- Heliobond/Tetric Evo-flow)
    Jewel also coated with layer of heliobond. Curing process 60 S to 1 min.
  7. Excess should be removed very carefully,without scratches to the jewellery. Dental burs and polishing burs not use. Silicone polishers are most preferable.
Important :

Not touch the stone with fingers and not contaminated with saliva. If contamination then clean the stone with acrylic pellets in an alcohol bath for better bonding with the toothsurface .